A mouse model for Dry Eye Disease
Dry eye disease, also referred to as keratoconjunctivitis sicca, dry eye syndrome, and dysfunctional tear syndrome, is a multifactorial ocular surface disease characterized by ocular discomfort, irritation, and visual disturbance. It ranks among the most frequently encountered ocular morbidities, with more than 25% of patients attending ophthalmic clinics reporting these symptoms (Dana et al. 2019).
The global prevalence of dry eye disease is estimated to range from 7% to 34%, depending on diagnostic criteria and the population surveyed (Deo and Nagrale 2024). The steep rise in annual dry eye disease incidence and prevalence over the past decade has recently been estimated (Zhang et al. 2024).
In 2002, Dursun and colleagues published a mouse model of dry eye disease by combining application of transdermal scopolamine patches together with a desiccating environmental stress (Dursun et al. 2002). At Experimentica, we use corneal fluorescein staining (CFS) to confirm successful model induction.
Figure 1. Corneal fluorescein staining of damaged epithelial cell layer.
CFS is scored using the modified Oxford score method by assigning scores from 0 (healthy corneal epithelial cell layer with no observable fluorescein staining) to 4 (severe corneal epithelial cell damage with widespread confluent staining of the cornea.
Figure 2. Corneal fluorescein score at Day 21 of the study follow-up in naïve, untreated and PBS-treated eyes.
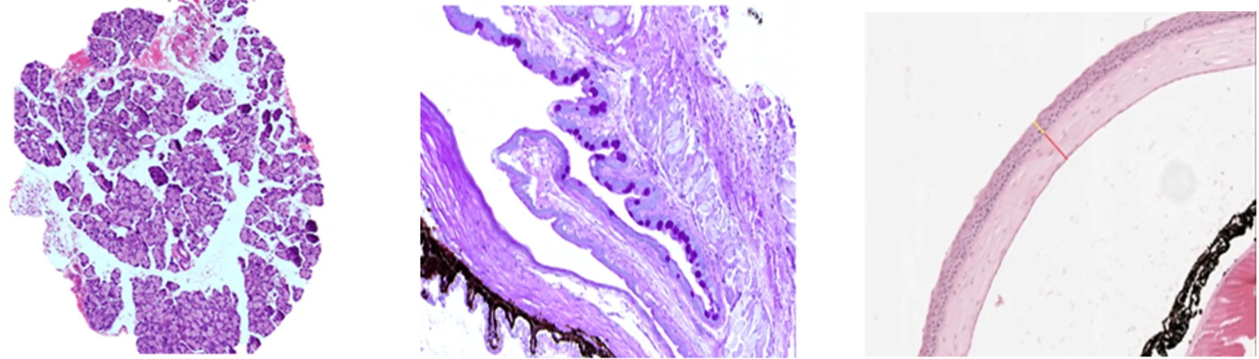
In addition, the evaluation of dry eye disease-like pathology can be performed with tear volume measurements and histological assessment of immune cell infiltration in lacrimal glands, quantification of goblet cells in the conjunctiva or corneal thickness and the number of corneal epithelial layers.
Figure 3. H&E staining of lacrimal gland, PAS staining of Goblet cells, and H&E staining of cornea.
Contact us for more information or schedule the meeting with our experts!
Check out our latest news and activities
All NewsCopyright: Experimentica Ltd. 2026